
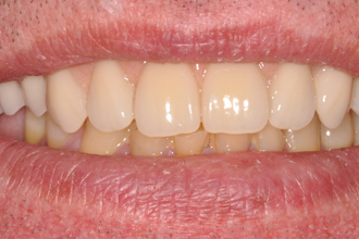
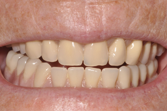
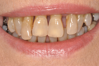
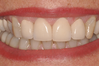
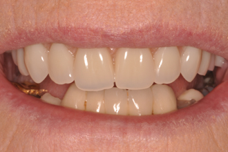
What Are Dental Implants?
A dental implant is a long-term solution for replacing missing teeth. The dental implant is placed directly into your jawbone, where it provides an artificial replacement for the root of your missing tooth or teeth. They can support crowns, bridges or dentures, in a similar way that roots support natural teeth. Having missing teeth can really affect your confidence, causing issues with speech and potential nutritional issues as you cannot eat a lot of the foods you once did. Dental implants offer a long-lasting and discreet choice of treatment for replacing teeth.
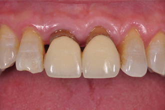
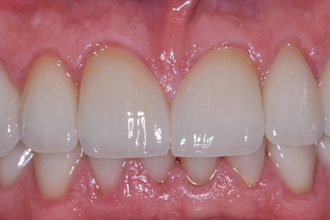
A dental implant itself is a titanium screw, which is placed directly into your jawbone, replacing your missing tooth root. After it’s fitted, the bone surrounding your implant will gradually fuse to it, holding the implant firmly in place. A false tooth is then fitted to the top of the implant giving a natural look to your smile, it should be impossible to tell that you have a dental implant there at all!
You can have a single implant, or you can have multiple ones if you need more than one tooth replaced. It is possible to have several implants fitted in the same procedure. If you have few or no teeth, the teeth-in-a-day technique might work for you. This uses four to six implants supported by a bridge. For more information on this technique click here
How Long Do Dental Implants Last?
So long as you care for your implants properly, they can last as long as natural teeth. Dentures tend to last for around five to 10 years. Routine examinations and oral hygiene appointments will make sure both your natural and screwed-in teeth will last as long as possible.
Implants are also the preferred option if you want to avoid causing any damage to your existing teeth. For example, the more traditional way of replacing a tooth without having a denture is a bridge, but this requires shaving the adjacent teeth down to place crowns onto.
People might choose to have bridges because, in some circumstances, it’s a less complicated procedure than implants. They might also be needed if your dentist doesn’t think you have enough bone to fit an implant and you don’t want to have a bone graft. Read more about the dental implant procedure.
How will my dental implant be fitted?
Dental implants are usually fitted during two separate procedures; the first is to fit the implant itself into your jawbone, and then the second a few months later to fit the new tooth onto the implant.
You’ll usually be able to have the procedure in your dentist’s surgery, under local anaesthesia. Tell your dentist if you’re feeling particularly anxious about treatment, as they might be able to offer you a sedative to help you relax. Read more about the dental implant procedure.
Can Anyone Have Dental Implants?
Dental implants are suitable for most adults who are in good general health and have healthy gums. They aren’t suitable for children and young people under 18 because the underlying bones are still growing.
Your dentist may not recommend dental implants if you:
- Are a smoker
- Have had radiotherapy to your jaw area
- Have diabetes which isn’t well-controlled
- Suffer with gum(periodontal) disease
However, each case is different. Tell your dentist about any medical problems you have, and they’ll let you know if implants are an option for you.
Back to TreatmentsGet in touch
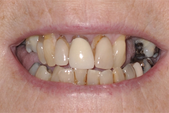
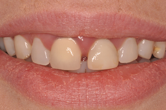
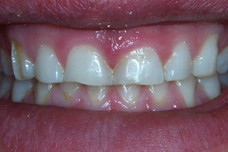
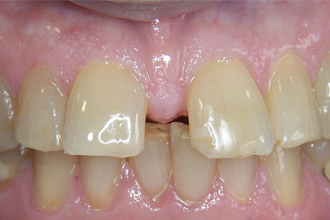
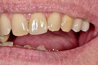
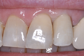
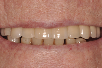
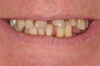
MORE CASES
